Ωράριο
- Δευ-Σαβ: 10:00π.μ.-14:00μ.μ
Τρί-Πεμ: 17:00μ.μ.-20:30μ.μ
Επικοινωνία
-
(+30) 698 798 53 75
Φόρμα Επικοινωνίας
Προσθετική (Γέφυρες – Τεχνητές οδοντοστοιχίες)

Προσθετική δοντιών είναι ο τομέας της οδοντιατρικής ο οποίος ασχολείται με την αντικατάσταση του φυσικού δοντιού με τεχνητά υλικά. Ανάλογα με την κατάσταση, τις ιατρικές ενδείξεις και τις επιθυμίες του ίδιου του ασθενή, οι ειδικοί στον τομέα της σύγχρονης Προσθετικής Οδοντιατρικής μπορούν να αντιμετωπίσουν:
- τα στραβά δόντια
- τα κενά μεταξύ των δοντιών
- σπασμένα ή μικρά δόντια
- δόντια στα οποία απαιτείται τροποποίηση του σχήματος
Σταθερή αποκατάσταση
Για την αποκατάσταση των δοντιών υπάρχουν διάφορες επιλογές και ποικιλία σχεδίων που στερεώνονται σταθερά στη στοματική κοιλότητα, χρησιμοποιώντας ειδική οδοντική κονία.
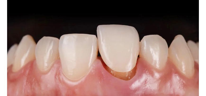
Η στεφάνη είναι προσθετικό υλικό που καλύπτει ολόκληρο το δόντι και εφαρμόζει με ακρίβεια στο περίγραμμά του. Εκτός από την προστασία του δοντιού, μία στεφάνη μπορεί να τελειοποιήσει αισθητικά την εικόνα του.

Μία στεφάνη, ανάλογα με το υλικό κατασκευής της, μπορεί να είναι:
- Μεταλλοκεραμική
- Ολοκεραμική
- Ζιρκόνιο
Οι στεφάνες ζιρκονίου έχουν καθιερωθεί ως η λύση με το καλύτερο αισθητικό αποτέλεσμα. Το κύριο πλεονέκτημά τους, σε σχέση με τις μεταλλικές, είναι πως δεν διαφέρουν σε εμφάνιση από τα φυσικά δόντια.

Περιπτώσεις που προτείνουμε στεφάνες
- Σπασμένο δόντι
- Δόντι που κινδυνεύει να σπάσει
- Δόντι απονευρωμένο με μεγάλη έμφραξη (σφράγισμα)
- Αισθητική αποκατάσταση
Αποτελέσματα και πλεονεκτήματα
- Βελτιώνουν εξαιρετικά το χαμόγελο
- Προστατεύουν τα δόντια και τα ούλα από μεγαλύτερη ζημιά
- Ελάχιστη έως μηδενική απορρόφηση χρωστικών ουσιών
- Μοιάζουν και λειτουργούν σαν κανονικά δόντια
Οδοντιατρικές Γέφυρες
Οι οδοντιατρικές γέφυρες είναι μια μορφή προσθετικής αποκατάστασης που χρησιμοποιείται για την αντικατάσταση ενός ή περισσότερων δοντιών που λείπουν.

Γιατί προτείνουμε τις γέφυρες
Με την απώλεια ενός δοντιού ξεκινά μια αλυσιδωτή αντίδραση που μπορεί να επηρεάσει σημαντικά το στόμα. Ένα δόντι που λείπει, δημιουργεί κενό προκαλώντας μετακίνηση των γειτονικών δοντιών. Επίσης, το δόντι από την αντίθετη πλευρά δεν θα έχει «ανταγωνιστή» ώστε να κρατάει αντίσταση και να διατηρεί σωστή μασητική ικανότητα. Έτσι, θα αρχίσει να μετακινείται προς το κενό διάστημα. Όλες αυτές οι αντιδράσεις μπορούν να προκαλέσουν την απώλεια ορισμένων δοντιών. Τοποθετώντας γέφυρα και συμπληρώνοντας το κενό, αποκαθίσταται η λειτουργία του στόματος.
Η γέφυρα συνήθως καλύπτει δύο δόντια, ένα δόντι μπροστά και ένα δόντι πίσω από αυτό που λείπει. Αυτά χρησιμοποιούνται ως στηρίγματα για την τοποθέτησή της.
Μία γέφυρα, ανάλογα με το υλικό κατασκευής της, συνήθως μπορεί να είναι:
- Μεταλλοκεραμική
- Ζιρκόνιο
- Ολοκεραμική
Κάθε υλικό έχει διαφορετικές εφαρμογές και πλεονεκτήματα, ανάλογα με τις ανάγκες του ασθενή. Μία γέφυρα μπορεί να καλύψει το δόντι που λείπει με εξαιρετικό αισθητικό αποτέλεσμα.
Διαδικασία τοποθέτησης

Στο πρώτο ραντεβού, ναρκώνεται η περιοχή όπου θα γίνει η εργασία. Αφαιρούνται τυχόν μέρη με τερηδόνα, γίνεται ανασύσταση του τοιχώματος που λείπει και τα δόντια παρασκευάζονται.
Αποτύπωση
Πριν από το τέλος της πρώτης επίσκεψης, τοποθετείται η προσωρινή γέφυρα στα παρασκευασμένα δόντια.
Στο δεύτερο ραντεβού, αφαιρείται η προσωρινή γέφυρα, τοποθετείται και δοκιμάζεται η μόνιμη γέφυρα και αν η εφαρμογή, αλλά και το αισθητικό αποτέλεσμα, είναι απολύτως ικανοποιητικά, τότε η γέφυρα συγκολλάται μόνιμα.
Περιποίηση

Η επιτυχία και η μακρά διάρκεια ζωής της γέφυρας εξαρτάται από το πόσο υγιή είναι τα δόντια και οι ιστοί (ούλα) γύρω από αυτή. Επομένως, η φροντίδα και ο καθαρισμός είναι πολύ σημαντικά. Για τον καθαρισμό της γέφυρας χρησιμοποιείται το οδοντικό νήμα Superfloss ή ειδικά βουρτσάκια.

Το Superfloss είναι λίγο διαφορετικό από το οδοντικό νήμα, καθώς έρχεται σε τεμαχισμένα κομμάτια, των οποίων τα δύο άκρα είναι λεπτά και σκληρά ενώ το μεσαίο μέρος του είναι χνουδωτό, έτσι ώστε να αφαιρεί την πλάκα αποτελεσματικά. Περνώντας ένα Superfloss από τα σκληρά άκρα κάτω από τη γέφυρα, με το χνουδωτό μέρος καθαρίζουμε στα σημεία όπου το οδοντικό νήμα δεν μπορεί να περάσει.
Οδοντιατρική μικροπροσθετική

Ένθετα
Τα ένθετα πορσελάνης αποτελούν μια συντηρητική μέθοδο αποκατάστασης ενός κατεστραμμένου δοντιού, το οποίο σε διαφορετική περίπτωση θα χρειαζόταν ολική κάλυψη με στεφάνη. Τα ένθετα τοποθετούνται όταν το δόντι δεν μπορεί πλέον να αποκατασταθεί με μια έμφραξη (σφράγισμα), λόγω της μεγάλης φθοράς που έχει υποστεί. Για να καταλάβουμε ακριβώς τι είναι το ένθετο πορσελάνης, πρέπει να το σκεφτούμε σαν ένα σφράγισμα που, αντί να το φτιάξει ο οδοντίατρος στο στόμα μας, κατασκευάζεται στο εργαστήριο από οδοντοτεχνίτες και ο οδοντίατρος το κολλάει στο δόντι. Τα ένθετα είναι έμμεσες αισθητικές αποκαταστάσεις οι οποίες διαθέτουν άριστη αισθητική, υψηλή αντοχή και διάρκεια.
Πότε χρησιμοποιούνται τα ένθετα
- Σε ενδοδοντικά θεραπευμένα δόντια
- Σε περιπτώσεις μεγάλης έκτασης τερηδόνας και μεγάλων μεταλλικών σφραγισμάτων
Αποτελέσματα και πλεονεκτήματα
- Άριστη βιολογική συμβατότητα με τον οργανισμό
- Άριστη προσαρμογή στο δόντι
- Η αποκατάσταση του δοντιού επιτυγχάνεται με μηδενική φθορά
- Υψηλή αισθητική
- Υψηλή αντοχή
Όψεις πορσελάνης
Επικαλύψεις από ειδικά κεραμικά υλικά που συγκολλούνται με χημικό τρόπο στις προστομιακές επιφάνειες των προσθίων δοντιών. Οι όψεις πορσελάνης είναι λεπτές φλούδες, πάχους 0,5 mm, από κεραμικό υλικό (πορσελάνη).
Κινητή προσθετική (Αφαιρούμενες οδοντοστοιχίες)

Ολική οδοντοστοιχία άνω ή κάτω γνάθου με ακρυλική ή μεταλλική βάση
Οι ολικές οδοντοστοιχίες ουσιαστικά είναι ψεύτικα πλαστικά ή πορσελάνινα δόντια, πάνω σε έναν ακρυλικό σκελετό-βάση ή με μεταλλική βάση. Η ακρυλική βάση παίζει το ρόλο των ούλων και τα ψεύτικα δόντια, ακρυλικά ή από πορσελάνη, συμπληρώνουν το σύνολο.
Οι ολικές οδοντοστοιχίες χρησιμοποιούνται στην οδοντιατρική όταν δεν υπάρχουν καθόλου δόντια στο στόμα του ασθενούς.

Μερική οδοντοστοιχία άνω ή κάτω γνάθου με ακρυλική ή μεταλλική βάση
Μερική οδοντοστοιχία ή μηχάνημα είναι η κινητή κατασκευή που αντικαθιστά τα δόντια που λείπουν. Στηρίζεται σε φυσικά δόντια που έχουν μείνει στο στόμα, σε ρίζες ή σε εμφυτεύματα.
Άμεση οδοντοστοιχία άνω ή κάτω γνάθου
Η άμεση οδοντοστοιχία (ολική ή μερική) άνω ή κάτω γνάθου, κατασκευάζεται πριν από την εξαγωγή των φυσικών δοντιών (όταν υπάρχουν) και τοποθετείται αμέσως μετά την εξαγωγή τους. Το μεγάλο πλεονέκτημα αυτής της μεθόδου είναι ότι ο ασθενής δεν μένει καθόλου δίχως δόντια.
Επανεφαρμογή οδοντοστοιχίας
Επανεφαρμογή οδοντοστοιχίας είναι η διαδικασία επανατοποθέτησης / ρύθμισης της τεχνητής οδοντοστοιχίας, της οποίας η δομή και η θέση μπορεί να έχουν μεταβληθεί με την πάροδο του χρόνου.
Επιδιόρθωση οδοντοστοιχίας
Η επιδιόρθωση απαιτείται όταν η τεχνητή οδοντοστοιχία έχει υποστεί φθορές από την πάροδο του χρόνου.
Ωράριο
- Δευ-Σαβ: 10:00π.μ.-14:00μ.μ
Τρί-Πεμ: 17:00μ.μ.-20:30μ.μ
Επικοινωνία
-
(+30) 698 798 53 75

