Θεραπείες
Η οδοντιατρική είναι μία εκπληκτική επιστήμη που διαθέτει πολλούς τομείς και εξειδικεύσεις.
Στο ιατρείο, το αντικείμενο που μας ενδιαφέρει περισσότερο είναι ο πολφός του δοντιού, η ενδο–έσω του δοντιού θεραπεία και συνεχώς εξελισσόμαστε στους τρόπους αντιμετώπισης των παθήσεων τόσο του πολφού των δοντιών όσο και των στηρικτικών τους ιστών.
- Παθήσεις του πολφού
- Παθήσεις του περιοδοντίου
- Ενδοπεριοδοντική βλάβες
Παθήσεις του πολφού
Aναγεννητικές Tεχνικές
H γνώση και ευαισθητοποίηση για τη σημασία και την αξία της διατήρησης της ζωτικότητας του δοντιού μάς οδηγεί, ΣΗΜΕΡΑ, σε μία πιο συντηρητική-αναγεννητική αντιμετώπιση των παθήσεων του πολφού. Έτσι, σε περιπτώσεις μεγάλου τερηδονισμού ή τραυματισμού δοντιού, στοχευόμενα δεν καταφεύγουμε, αμέσως, σε ενδοδοντική θεραπεία (απονεύρωση), αλλά εφαρμόζουμε πιο συντηρητικές θεραπείες (άμεση-έμμεση κάλυψη πολφού, μερική – ολική πολφοτομή), με σκοπό να διατηρηθεί το δόντι ζωντανό.
Η χρήση των νεότερων βιοκεραμικών υλικών (ΜΤΑ, BIODENTINE) αποτελεί θεραπεία εκλογής σε αυτές τις συντηρητικότερες προσεγγίσεις.
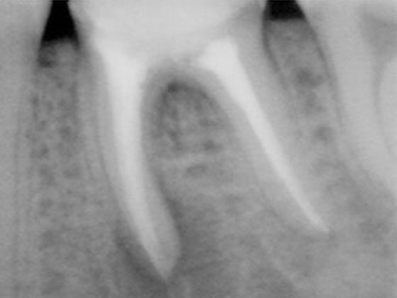
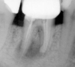
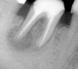
Ενδοδοντική Θεραπεία

Επανάληψη ενδοδοντικής θεραπείας



Η επανάληψη μιας αποτυχημένης ενδοδοντικής θεραπείας θεωρείται ως η πιο περίπλοκη διαδικασία, που ενέχει αρκετούς κινδύνους για τη μελλοντική λειτουργικότητα του δοντιού. Η απόφαση για επανάληψη είναι συλλογική, μεταξύ της οδοντιάτρου και του ασθενούς, αφού συνεκτιμηθούν μια σειρά παραγόντων, με κυριότερους τη διάγνωση της αιτίας της αποτυχίας της προηγούμενης θεραπείας και το όφελος της επανάληψης.
Η επανάληψη μιας ενδοδοντικής θεραπείας δεν σημαίνει και τη διάσωση, τελικά, του δοντιού. Η δυναμικότητα των παθογόνων αναερόβιων μικροβίων που έχουν αναπτυχθεί στο σύστημα των ριζικών σωλήνων με τη συνεπακόλουθη καταστροφή των περιακρορριζικών ιστών καθιστά, πολλές φορές, αδύνατη τη διατήρηση του δοντιού, ακόμη και με το συνδυασμό της μικροχειρουργικής ενδοδοντίας.



